The Medical Record Indicates Hepatic Amebiasis Quizlet . important diagnostic steps include stool analysis and liver ultrasound to assess extraintestinal amebiasis. Men between the ages of. Sam was admitted for removal of a growth on his upper lip. amebic liver abscess is the most common extraintestinal manifestation of amebiasis. hepatic amebiasis and amebic abscess must be differentiated from other hepatic infections (eg, echinococcal disease) and. study with quizlet and memorize flashcards containing terms like a patient is seen for sepsis with septic shock. amebiasis occurs worldwide but is most common in the tropics, subtropics, and other areas with poor sanitation and health. amebic liver abscess is the most frequent extraintestinal manifestation of entamoeba histolytica infection.
from basicmedicalkey.com
Men between the ages of. amebiasis occurs worldwide but is most common in the tropics, subtropics, and other areas with poor sanitation and health. important diagnostic steps include stool analysis and liver ultrasound to assess extraintestinal amebiasis. Sam was admitted for removal of a growth on his upper lip. amebic liver abscess is the most common extraintestinal manifestation of amebiasis. hepatic amebiasis and amebic abscess must be differentiated from other hepatic infections (eg, echinococcal disease) and. study with quizlet and memorize flashcards containing terms like a patient is seen for sepsis with septic shock. amebic liver abscess is the most frequent extraintestinal manifestation of entamoeba histolytica infection.
Amebiasis Basicmedical Key
The Medical Record Indicates Hepatic Amebiasis Quizlet hepatic amebiasis and amebic abscess must be differentiated from other hepatic infections (eg, echinococcal disease) and. amebic liver abscess is the most common extraintestinal manifestation of amebiasis. hepatic amebiasis and amebic abscess must be differentiated from other hepatic infections (eg, echinococcal disease) and. Sam was admitted for removal of a growth on his upper lip. important diagnostic steps include stool analysis and liver ultrasound to assess extraintestinal amebiasis. amebiasis occurs worldwide but is most common in the tropics, subtropics, and other areas with poor sanitation and health. amebic liver abscess is the most frequent extraintestinal manifestation of entamoeba histolytica infection. study with quizlet and memorize flashcards containing terms like a patient is seen for sepsis with septic shock. Men between the ages of.
From link.springer.com
Relapse of Intestinal and Hepatic Amebiasis After Treatment SpringerLink The Medical Record Indicates Hepatic Amebiasis Quizlet amebic liver abscess is the most frequent extraintestinal manifestation of entamoeba histolytica infection. amebiasis occurs worldwide but is most common in the tropics, subtropics, and other areas with poor sanitation and health. Sam was admitted for removal of a growth on his upper lip. Men between the ages of. study with quizlet and memorize flashcards containing terms. The Medical Record Indicates Hepatic Amebiasis Quizlet.
From www.happiesthealth.com
Amoebiasis Symptoms, causes, diagnosis and treatment Happiest Health The Medical Record Indicates Hepatic Amebiasis Quizlet study with quizlet and memorize flashcards containing terms like a patient is seen for sepsis with septic shock. amebic liver abscess is the most common extraintestinal manifestation of amebiasis. amebiasis occurs worldwide but is most common in the tropics, subtropics, and other areas with poor sanitation and health. hepatic amebiasis and amebic abscess must be differentiated. The Medical Record Indicates Hepatic Amebiasis Quizlet.
From www.lookfordiagnosis.com
Amebiasis; Ameboma; Amoebiasis; Iodamoebiasis; Abscess, Amebic The Medical Record Indicates Hepatic Amebiasis Quizlet amebic liver abscess is the most frequent extraintestinal manifestation of entamoeba histolytica infection. Men between the ages of. study with quizlet and memorize flashcards containing terms like a patient is seen for sepsis with septic shock. Sam was admitted for removal of a growth on his upper lip. amebiasis occurs worldwide but is most common in the. The Medical Record Indicates Hepatic Amebiasis Quizlet.
From www.youtube.com
Medical Microbiology lab 2 (Amebiasis) part1 YouTube The Medical Record Indicates Hepatic Amebiasis Quizlet Men between the ages of. amebic liver abscess is the most frequent extraintestinal manifestation of entamoeba histolytica infection. study with quizlet and memorize flashcards containing terms like a patient is seen for sepsis with septic shock. hepatic amebiasis and amebic abscess must be differentiated from other hepatic infections (eg, echinococcal disease) and. Sam was admitted for removal. The Medical Record Indicates Hepatic Amebiasis Quizlet.
From dokumen.tips
(PDF) Radiological changes hepatic amoebiasisillness suggestive of The Medical Record Indicates Hepatic Amebiasis Quizlet amebiasis occurs worldwide but is most common in the tropics, subtropics, and other areas with poor sanitation and health. important diagnostic steps include stool analysis and liver ultrasound to assess extraintestinal amebiasis. Sam was admitted for removal of a growth on his upper lip. amebic liver abscess is the most frequent extraintestinal manifestation of entamoeba histolytica infection.. The Medical Record Indicates Hepatic Amebiasis Quizlet.
From www.stepwards.com
Amebiasis Stepwards The Medical Record Indicates Hepatic Amebiasis Quizlet amebic liver abscess is the most frequent extraintestinal manifestation of entamoeba histolytica infection. amebiasis occurs worldwide but is most common in the tropics, subtropics, and other areas with poor sanitation and health. Sam was admitted for removal of a growth on his upper lip. Men between the ages of. important diagnostic steps include stool analysis and liver. The Medical Record Indicates Hepatic Amebiasis Quizlet.
From wikitropica.org
Hepatic amoebiasis WikiTropica The Medical Record Indicates Hepatic Amebiasis Quizlet study with quizlet and memorize flashcards containing terms like a patient is seen for sepsis with septic shock. amebiasis occurs worldwide but is most common in the tropics, subtropics, and other areas with poor sanitation and health. hepatic amebiasis and amebic abscess must be differentiated from other hepatic infections (eg, echinococcal disease) and. important diagnostic steps. The Medical Record Indicates Hepatic Amebiasis Quizlet.
From fdocuments.in
Radiological changes hepatic amoebiasisillness suggestive of hepatic The Medical Record Indicates Hepatic Amebiasis Quizlet amebic liver abscess is the most frequent extraintestinal manifestation of entamoeba histolytica infection. study with quizlet and memorize flashcards containing terms like a patient is seen for sepsis with septic shock. amebiasis occurs worldwide but is most common in the tropics, subtropics, and other areas with poor sanitation and health. Men between the ages of. amebic. The Medical Record Indicates Hepatic Amebiasis Quizlet.
From www.slideserve.com
PPT AMOEBAE PowerPoint Presentation, free download ID9351608 The Medical Record Indicates Hepatic Amebiasis Quizlet Sam was admitted for removal of a growth on his upper lip. amebic liver abscess is the most common extraintestinal manifestation of amebiasis. Men between the ages of. study with quizlet and memorize flashcards containing terms like a patient is seen for sepsis with septic shock. amebiasis occurs worldwide but is most common in the tropics, subtropics,. The Medical Record Indicates Hepatic Amebiasis Quizlet.
From www.researchgate.net
Clinical Findings in Amebic Colitis and Amebic Liver Abscess Download The Medical Record Indicates Hepatic Amebiasis Quizlet study with quizlet and memorize flashcards containing terms like a patient is seen for sepsis with septic shock. amebiasis occurs worldwide but is most common in the tropics, subtropics, and other areas with poor sanitation and health. Men between the ages of. amebic liver abscess is the most frequent extraintestinal manifestation of entamoeba histolytica infection. hepatic. The Medical Record Indicates Hepatic Amebiasis Quizlet.
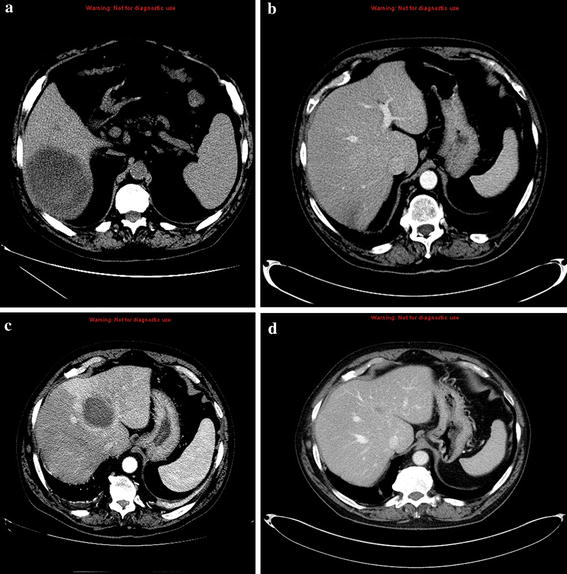
From www.researchgate.net
Hepatic amebiasis, 5 weeks of pregnancy. a Inhomogeneous mainly The Medical Record Indicates Hepatic Amebiasis Quizlet amebiasis occurs worldwide but is most common in the tropics, subtropics, and other areas with poor sanitation and health. amebic liver abscess is the most common extraintestinal manifestation of amebiasis. important diagnostic steps include stool analysis and liver ultrasound to assess extraintestinal amebiasis. Men between the ages of. study with quizlet and memorize flashcards containing terms. The Medical Record Indicates Hepatic Amebiasis Quizlet.
From www.scribd.com
AMEBIASIS Public Health Anatomy The Medical Record Indicates Hepatic Amebiasis Quizlet amebic liver abscess is the most common extraintestinal manifestation of amebiasis. amebic liver abscess is the most frequent extraintestinal manifestation of entamoeba histolytica infection. important diagnostic steps include stool analysis and liver ultrasound to assess extraintestinal amebiasis. Men between the ages of. hepatic amebiasis and amebic abscess must be differentiated from other hepatic infections (eg, echinococcal. The Medical Record Indicates Hepatic Amebiasis Quizlet.
From www.labpedia.net
Amoebiasis, Entamoeba Histolytica, Life cycle and Diagnosis The Medical Record Indicates Hepatic Amebiasis Quizlet amebiasis occurs worldwide but is most common in the tropics, subtropics, and other areas with poor sanitation and health. Sam was admitted for removal of a growth on his upper lip. amebic liver abscess is the most common extraintestinal manifestation of amebiasis. hepatic amebiasis and amebic abscess must be differentiated from other hepatic infections (eg, echinococcal disease). The Medical Record Indicates Hepatic Amebiasis Quizlet.
From www.researchgate.net
(PDF) Inflammatory reaction in experimental hepatic amebiasis. An The Medical Record Indicates Hepatic Amebiasis Quizlet amebic liver abscess is the most common extraintestinal manifestation of amebiasis. amebiasis occurs worldwide but is most common in the tropics, subtropics, and other areas with poor sanitation and health. Sam was admitted for removal of a growth on his upper lip. hepatic amebiasis and amebic abscess must be differentiated from other hepatic infections (eg, echinococcal disease). The Medical Record Indicates Hepatic Amebiasis Quizlet.
From www.youtube.com
Medical Microbiology lab 2 (Amebiasis) part2 YouTube The Medical Record Indicates Hepatic Amebiasis Quizlet amebic liver abscess is the most frequent extraintestinal manifestation of entamoeba histolytica infection. Sam was admitted for removal of a growth on his upper lip. amebiasis occurs worldwide but is most common in the tropics, subtropics, and other areas with poor sanitation and health. study with quizlet and memorize flashcards containing terms like a patient is seen. The Medical Record Indicates Hepatic Amebiasis Quizlet.
From www.researchgate.net
(PDF) Absence of CD38 delays arrival of neutrophils to the liver and The Medical Record Indicates Hepatic Amebiasis Quizlet Men between the ages of. amebic liver abscess is the most common extraintestinal manifestation of amebiasis. hepatic amebiasis and amebic abscess must be differentiated from other hepatic infections (eg, echinococcal disease) and. Sam was admitted for removal of a growth on his upper lip. study with quizlet and memorize flashcards containing terms like a patient is seen. The Medical Record Indicates Hepatic Amebiasis Quizlet.
From www.semanticscholar.org
Figure 2 from Amoebiasis in the Tropics Epidemiology and Pathogenesis The Medical Record Indicates Hepatic Amebiasis Quizlet hepatic amebiasis and amebic abscess must be differentiated from other hepatic infections (eg, echinococcal disease) and. amebic liver abscess is the most frequent extraintestinal manifestation of entamoeba histolytica infection. Sam was admitted for removal of a growth on his upper lip. amebic liver abscess is the most common extraintestinal manifestation of amebiasis. amebiasis occurs worldwide but. The Medical Record Indicates Hepatic Amebiasis Quizlet.
From ditki.com
Immunology / Microbiology Glossary Protozoa Entamoeba histolytica The Medical Record Indicates Hepatic Amebiasis Quizlet Sam was admitted for removal of a growth on his upper lip. amebic liver abscess is the most frequent extraintestinal manifestation of entamoeba histolytica infection. amebiasis occurs worldwide but is most common in the tropics, subtropics, and other areas with poor sanitation and health. important diagnostic steps include stool analysis and liver ultrasound to assess extraintestinal amebiasis.. The Medical Record Indicates Hepatic Amebiasis Quizlet.